
Lei è Stefania,
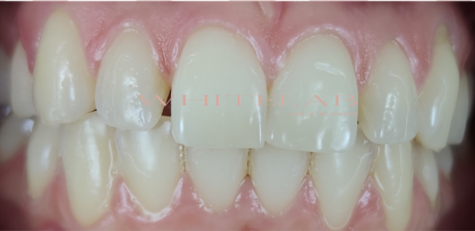
Non ha mai avuto un buon rapporto con il suo sorriso: i denti grandi e sporgenti non le piacevano e gli spazi tra i laterali la infastidivano ancora di più.

Lei desiderava un sorriso più luminoso ed eliminare gli spazi laterali.
Non è stato possibile iniziare da subito con un trattamento mirato a donare luminosità e candore al sorriso perchè era presente una forte ipersensibilità che in alcuni momenti influenzava la sua qualità di vita.
Prima di pensare all’estetica, era quindi necessario eliminare l’ipersensibilità e rinforzare lo smalto che presentava dei segni evidenti di alterazione della sua struttura

L’approccio scelto è stato un percorso combinato di REMINERALIZZAZIONE, SBIANCAMENTO DOMICILIARE e RESTAURI ESTETICI per rinnovare il sorriso e fare ritrovare sicurezza e benessere a Stefania.
Fase 1 – Rinforzare lo smalto con un protocollo remineralizzante e desensibilizzante
Abbiamo iniziato questa prima fase con l’utilizzo di prodotti a base di idrossiapatite e fosfato di calcio amorfo (ACP) utilizzati quotidianamente a casa.
Questi principi attivi, altamente affini alla struttura minerale dello smalto, agiscono riempiendo le micro-porosità e favorendo la deposizione di calcio e fosfato. Il risultato è una superficie più resistente agli stimoli e più stabile dal punto di vista biologico.
Dopo tre settimane l’ipersensibilità era un lontano ricordo e la superficie del dente liscia!
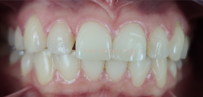
Fase 2 – Sbiancamento professionale domiciliare
Una volta raggiunto l’obiettivo della prima fase , abbiamo affrontato la questione estetica: un protocollo di sbiancamento.
Sono state realizzate mascherine individuali su misura e, indossate per dieci giorni durante la notte.
Il prodotto sbiancante utilizzato all’interno delle mascherine è stato un gel al 10% di perossido di carbamide.
Il cambiamento del colore è avvenuto in modo graduale e nel rispetto dei tessuti dentali. Il risultato è stato di un sorriso più luminoso e naturale.

Per determinare il colore dei denti si utilizzano delle scale colori apposite, io utilizzo sempre anche uno spettrofotometro, strumento che permette la misurazione più precisa e oggettiva. Il colore prima del trattamento era un A2, dopo il trattamento un B1.
La differenza, visibile nell’immagine, mostra un evidente schiarimento dei tessuti dentinali con un risultato più bianco e luminoso.


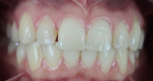
Fase 3 – Armonizzazione estetica degli spazi
Dopo aver atteso le due settimane necessarie alla stabilizzazione del colore, siamo passata alla fase finale: restauri estetici per chiudere gli spazi tra i denti laterali.

Questo ultimo passaggio ha completato il risultato: non solo denti più bianchi, ma anche un sorriso più equilibrato, proporzionato e coerente con il volto di Stefania.

Questo caso dimostra quanto sia fondamentale un approccio combinato, prima si valuta la struttura del dente scegliendo se necessario il protocollo remineralizzante, poi si lavora sull’estetica: è questo che rende il risultato stabile, naturale e davvero personalizzato.
Il risultato finale è la sintesi di un attento ascolto delle esigenze di Stefania, del rispetto della biologia e la scelta di protocolli efficaci.
Esattamente ciò che rende un trattamento estetico un percorso di valore.


