Perché i miei denti non sono bianchi come vorrei?

Prima di entrare nel dettaglio di questa domanda, è fondamentale chiarire un concetto: il colore dei nostri denti non è qualcosa che “scegliamo” o che dipende da noi, ma è determinato dalla genetica.

Ognuno nasce con un colore di base e con tessuti dentali dalle caratteristiche ben precise.

Cosa determina il colore dei denti?

Quando si parla di colore dentale, spesso si tende a semplificare  il concetto, attribuendo allo smalto la responsabilità principale del “bianco” dei denti.

Il colore del dente è il risultato dell’interazione tra dentina e smalto, due tessuti diversi per struttura, composizione e comportamento alla luce.

La dentina: il vero substrato cromatico del dente

La dentina rappresenta il tessuto che determina il colore del dente.
È un tessuto mineralizzato meno cristallino rispetto allo smalto, più ricco di componente organica e caratterizzato da una colorazione che può virare dal giallo al grigio.

Dal punto di vista ottico, la dentina è relativamente opaca e diffonde la luce in modo diverso rispetto allo smalto. Proprio per questo:

  • definisce la tonalità
  • contribuisce in modo significativo alla saturazione del colore (chroma)
  • costituisce il “fondo” su cui si costruisce la percezione cromatica finale

È quindi corretto affermare che ciò che determina il colore del dente è la dentina.

Il ruolo dello smalto: traslucenza e modulazione della luce

Lo smalto, pur essendo il tessuto più esterno, non possiede una vera cromaticità propria.
È altamente mineralizzato e caratterizzato da una marcata traslucenza.

Questa traslucenza consente alla luce di:attraversare lo smalto

  • raggiungere la dentina
  • riflettersi e tornare all’esterno modulata dal tessuto sovrastante

Lo smalto agisce come un filtro ottico:

  • non genera il colore
  • lascia trasparire il colore sottostante
  • influenza luminosità, brillantezza e profondità visiva

Uno smalto spesso, compatto e ben mineralizzato attenua la componente cromatica dentinale, aumentando il valore, la luminosità.
Al contrario, uno smalto sottile, poroso o demineralizzato amplifica visivamente il colore della dentina, rendendo il dente più scuro o meno brillante.

Da questa immagine è evidente come lo smalto sia un tessuto traslucente: in assenza di dentina sottostante, la sua naturale trasparenza risulta chiaramente visibile.

Capire da cosa dipende il colore dei denti è il primo passo.

Il secondo è sapere che, se desideri cambiare il colore dei tuoi denti, esistono possibilità concrete per migliorarlo.

Ti mostro come attraverso la storia di Giulio che desiderava un sorriso più bianco e luminoso.

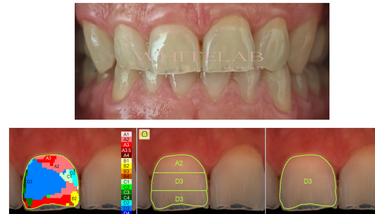
In questo paziente il colore dentale di partenza era un D3.

Per la rilevazione del colore dentale si utilizza una scala cromatica, nella quale la lettera identifica la tinta, mentre il numero indica il croma.

La lettera D identifica una tonalità che tende più al grigio, mentre il numero 3 indica un croma elevato, quindi un’intensità cromatica marcata.

L’obiettivo del trattamento è stato ridurre il croma e aumentare il valore del dente, migliorandone la luminosità in modo armonico e nel rispetto dei tessuti dentali.

Per raggiungere questo risultato ho scelto un protocollo di sbiancamento professionale domiciliare, in quanto consente un controllo graduale e personalizzato del processo di schiarimento, offrendo i risultati più efficaci sia in termini di miglioramento cromatico sia di stabilità del colore nel tempo.

Il paziente ha effettuato il trattamento mediante l’utilizzo di mascherine personalizzate realizzate su misura, all’interno delle quali è stato applicato un gel a base di perossido di idrogeno a bassa concentrazione, secondo un protocollo domiciliare della durata complessiva di 16 giorni.

Questo il risultato: 

Il risultato finale del trattamento è chiaramente apprezzabile sia dalla documentazione fotografica, che evidenzia il miglioramento significativo ottenuto con il protocollo domiciliare, sia dall’analisi dello spettrofotometro (strumento che consente una valutazione oggettiva del colore).

La rilevazione strumentale finale ha mostrato un colore B1, indicando un cambiamento sia della tinta, con il passaggio a una tonalità meno tendente al grigio, sia del croma,  oltre a un marcato aumento del valore, responsabile dell’elevata luminosità finale del dente.

A livello dei margini incisali è evidente l’assenza di dentina, motivo per cui queste aree risultano maggiormente trasparenti; a Giulio è stato proposto un successivo trattamento estetico volto a correggere e armonizzare questa condizione.

In conclusione, il colore dentale è un fattore geneticamente determinato: nasciamo con una tonalità di base definita dalle caratteristiche dei nostri tessuti dentali.

Questo non esclude la possibilità di migliorare o modificare il colore, anche in modo significativo, attraverso protocolli di sbiancamento dentale consapevoli.

La condizione fondamentale è che tali protocolli siano studiati e personalizzati in base alle specifiche esigenze cliniche di ogni singolo paziente.

Ogni sorriso racconta una storia. WhiteLab Smile Stories nasce proprio per raccontarle.

 

 

 

Altri post che potrebbero interessarti.