Quando una paziente entra in studio chiedendo se sia possibile scurire un dente, l’istinto clinico si ferma per un istante.
Non è la richiesta che ci si aspetta.
La maggior parte dei pazienti desidera denti più bianchi, un sorriso più luminoso, un effetto immediato.
Ma questa storia è diversa, e proprio per questo merita di essere raccontata.
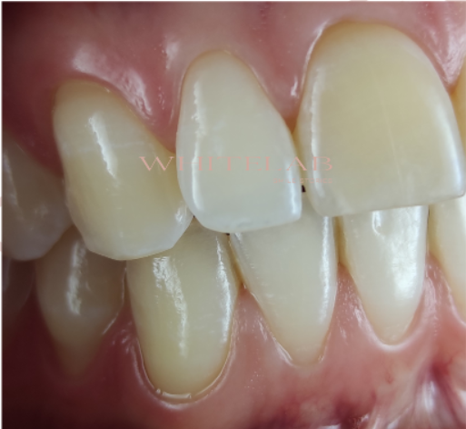
La paziente presentava una marcata differenza cromatica tra incisivo centrale laterale e canino.
Dalla fotografia iniziale si evince chiaramente questa marcata differenza cromatica.

Il laterale appare visivamente più chiaro, ma ciò che permette di ottenere una conferma oggettiva e misurabile è l’utilizzo dello spettrofotometro.
Per me questo strumento rappresenta un supporto prezioso in tutti i casi in cui mi occupo dell’estetica dentale: mi fornisce un dato reale, non influenzato dalla luce ambientale o dalla percezione individuale, e soprattutto mi guida nel comprendere quando fermarmi per ottenere un risultato armonioso e naturale.
La rilevazione strumentale ha confermato quanto osservato clinicamente:

l’incisivo centrale e il canino presentavano un croma 3, un valore che, secondo le scale colore odontoiatriche, indica un’intensità cromatica elevata;
il laterale mostrava invece un croma 1, il più chiaro nelle scale colore di riferimento.
Questa differenza così marcata rendeva la richiesta della paziente — “scurire un dente” — non solo comprensibile, ma perfettamente sensata dal punto di vista estetico: era necessario uniformare i colori.
La soluzione più logica, dal punto di vista clinico, sarebbe stata uno sbiancamento dentale.
Tuttavia, alla mia proposta la risposta è stata immediata e decisa: «No, non voglio fare altri sbiancamenti».
Negli anni aveva già eseguito molte sedute ambulatoriali: trattamenti con lampade, laser… procedure rapide e intense che le davano un risultato iniziale.
Ma dopo pochi mesi tutto tornava come prima. Questo aveva generato sfiducia, delusione e un senso di rassegnazione.
A quel punto le ho proposto qualcosa di diverso: un trattamento domiciliare.
Un protocollo riconosciuto dalla letteratura per la sua stabilità nel tempo e per la capacità di ottenere un risultato naturale e duraturo, anche se con tempi più lunghi rispetto alle tecniche ambulatoriali.
Il punto chiave è proprio questo: oggi molti pazienti desiderano un risultato immediato, e spesso anche I professionisti preferiscono eseguire i trattamenti ambulatoriali.
Ma la scienza ci insegna che, nella maggior parte dei casi, la costanza di un trattamento domiciliare è ciò che davvero può cambiare la storia di un sorriso.
Nonostante inizialmente la paziente fosse scettica all’idea di affrontare un ennesimo trattamento sbiancante, anche per una questione economica, dopo aver investito negli anni in più protocolli ambulatoriali senza risultati duraturi , alla fine ha deciso di fidarsi accettando il protocollo domiciliare.
Per lei ho realizzato delle mascherine individuali su misura, all’interno delle quali avrebbe applicato un gel a base di perossido di carbamide, il principio attivo che la letteratura scientifica identifica come il più efficace e prevedibile nei trattamenti domiciliari.
La parte più importante, in questo caso, è stata la personalizzazione del protocollo. Non bastava schiarire: bisognava uniformare.
Per ottenere un risultato uniforme ho chiesto alla paziente di applicare il gel più a lungo sui denti più scuri, mentre sul laterale — già molto chiaro — il trattamento è stato eseguito per un numero di giorni inferiore.
Nelle foto sotto si documenta perfettamente questa differenza ed il colore finale ottenuto.



Il trattamento è durato quindici giorni, ma fin dalle prime applicazioni la paziente osservava un cambiamento graduale.
La differenza cromatica si è progressivamente attenuata fino a raggiungere un equilibrio che restituiva alla paziente un sorriso uniforme, luminoso e finalmente coerente con il suo obiettivo finale.

La cosa più bella è che questa paziente era convinta che l’unico modo per ottenere un colore uniforme fosse scurire il laterale, senza immaginare che esistesse invece un percorso capace di riportare tutti gli elementi a una tonalità armonica — e soprattutto di mantenerla nel tempo.
Oggi il risultato è stabile, grazie anche a protocolli che permettono di preservare il colore raggiunto fin dall’inizio.
Ed è proprio qui che il trattamento domiciliare mostra tutta la sua forza: la possibilità di adattare tempi e risposta cromatica con una gradualità che nessun trattamento rapido in studio può garantire.


